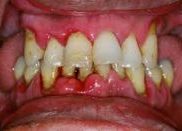
Hampaan pinnassa ja ientaskuissa elävät bakteerit aiheuttavat ientulehduksen, jonka tuloksena ovat ikenien verenvuoto, tulehdus ja mätäpesäkkeet. Bakteerit tuhoavat hammasta hammaskuopassa pitelevät säikeet eli ligamentit, joiden tuloksena hammas alkaa liikkua kuopassaan.
Ientulehdus saattaa pahentaa myös jotakin asiakkaan yleissairautta.
Ientaskuista voidaan ottaa bakteerinäyte ja lähettää se laboratorioon tutkittavaksi, jotta selvitettäisiin bakteerin tyyppi ja sen tuhoamiseen sopiva antibiootti.
Hoitotoimenpiteitä ovat ensisijaisesti hammaskiven ja plakin poistaminen. Hampaiden pintoja ja paljastuneita hampaan kaula-alueita voidaan kiillottaa, jotta bakteereilla ei olisi siinä enää tarttumapintaa.
Lisäksi tarkistetaan kaikki suussa olevat vanhat täytteet ja kruunut, sillä niiden vaurioituneet reunat tai pinnat saattavat olla bakteereille otollisia paikkoja.
Hampaista plakin ja hammaskiven poistamisen jälkeen on erittäin tärkeää huolehtia hyvästä suuhygieniasta: harjata hampaita oikein, käyttää hammaslankaa ja hammasvälien harjoja sekä suuvettä.
